複雑な口腔疾患を抱える方のための全顎治療

ボロボロなお口の中を
総合的にケアする全顎治療
全顎治療は、歯周病治療、インプラント治療、矯正治療、セラミック治療、さらにはマイクロスコープ治療など、様々な治療方法を患者さんの状態に合わせて組み合わせ、口腔の機能と美しさを総合的に取り戻す包括的な治療法です。
椿デンタルクリニックでは、最新の技術と経験豊富なスタッフが皆さまのお口の健康をサポートいたします。
なぜ全顎治療が必要なのか?
口腔の健康を総合的に回復させるために
-
- Reason 1
- 複数の問題に一括対応
虫歯、歯周病、欠損歯、噛み合わせの問題、審美的な悩みなど、口腔のあらゆる問題を包括的に解決します。
-
- Reason 2
- 個別最適な治療
各患者様の状態に最適な治療法を組み合わせ、効率的かつ効果的な治療を提供します。
-
- Reason 3
- 美しさと機能の両立
全顎治療により、見た目の改善だけでなく、噛む力や発音の機能も回復させます。
全顎治療の主な内容
包括的なアプローチと
技術のコラボレーション
歯周病治療
- 歯ぐきや骨の健康を回復し、歯の安定性を取り戻します。
インプラント治療
- 欠損している歯を補い、自然な噛み合わせを実現します。
矯正治療
- 歯並びや噛み合わせを整え、口腔の機能と美しさを改善します。
セラミック治療
- 美しいセラミックを使用し、見た目の改善と機能の回復を同時に実現します。
マイクロスコープ治療
- 精密な治療を行うことで、細部まで丁寧に処置し、高い治療効果を得られます。
全顎治療の症例紹介
Case01
-
- 症状
- 入れ歯が合わない
-
- 治療期間
- 約4か月
-
- 治療費用
- 上顎金属床義歯:550,000円
メタルボンド:132,000円×3本
下顎部分床義歯:550,000円
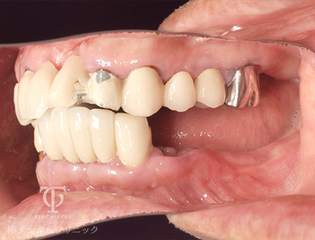
入れ歯があわず咬みにくいということで来院されました。かみ合わせをを修正し金属床義歯でかみ合わせを再構築しました。
【リスク・副作用】
口腔内を清潔に保たないと虫歯や歯肉炎、歯周病になるリスクがあります。
Case02
-
- 症状
- 右上の痛み
-
- 治療期間
- 約2年
-
- 治療費用
- (上顎)メタルボンド:132,000円×7本
(上顎)部分床義歯:550,000円
(下顎)インプラント治療:473,000円×3本
(下顎)オールセラミッククラウン:110,000円×4本
右上の歯肉の痛みで来院されました。歯周病やかみ合わせに問題があり患者様と相談の上、インプラントと部分床義歯にてかみ合わせを再構築しました。
【リスク・副作用】
インプラント治療後、痛みや違和感、出血、腫れなどが出る事があります。喫煙者、糖尿病などの方の場合、歯が生着しない場合があります。入れ歯を清潔に保たないと虫歯や歯肉炎、歯周病になるリスクがあります。
Case03
-

術前
-

術前
-

術前
-

術後の上顎内冠
-

術後の下顎内冠
-

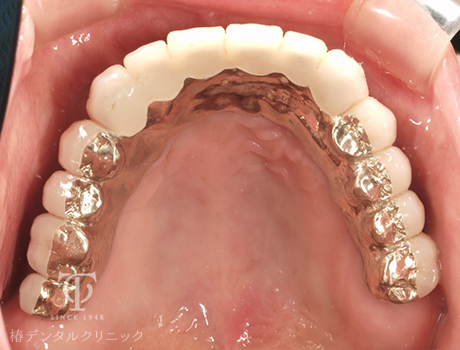
AGCテレスコープ義歯装着
-
- 症状
- 右上の痛み
-
- 治療期間
- 約1年半
-
- 治療費用
- (上顎)AGCテレスコープ義歯:1,500,000円
(下顎)AGCテレスコープ義歯:1,500,000円
右上の歯が痛いということで来院されました。AGCテレスコープという方法でかみ合わせを再構築しました
【リスク・副作用】
入れ歯を清潔に保たないと虫歯や歯肉炎、歯周病になるリスクがあります。
Case04
-

術前
-

術前
-

術前
-

術後の上顎内冠
-

術後の上顎AGCテレスコープ義歯
-

正面観AGCテレスコープ義歯装着
-

術前レントゲン
-

インプラント治療後レントゲン
-
- 症状
- 右上の痛み
-
- 治療期間
- 約1年半
-
- 治療費用
- (上顎)インプラント治療:473,000円×2
(上顎)AGCテレスコープ義歯:1,500,000円
(下顎)インプラント治療:473,000円×2
右上の歯が痛いということで来院されました。インプラントとAGCテレスコープという方法でかみ合わせを再構築しました。
【リスク・副作用】
インプラント治療後、痛みや違和感、出血、腫れなどが出る事があります。喫煙者、糖尿病などの方の場合、歯が生着しない場合があります。入れ歯を清潔に保たないと虫歯や歯肉炎、歯周病になるリスクがあります。
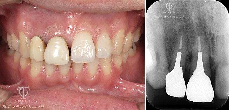
Case05
歯根破折の為、前歯が位置異常をおこしていました。

残った歯を部分矯正治療で引っ張り硬組織・軟組織を再生させました。


-

術前
-

術後
-
- 症状
- 前歯を綺麗にしたい
-
- 治療期間
- 約1年半
-
- 治療費用
- 部分矯正治療:330,000円×2
インプラント治療:473,000円
オールセラミッククラウン:165,000円
歯根破折をおこし前歯が位置異常をおこし綺麗にしたいということで来院されました。残った破折歯を部分矯正治療に利用して骨造成を回避しました。
【リスク・副作用】
インプラント治療後、痛みや違和感、出血、腫れなどが出る事があります。喫煙者、糖尿病などの方の場合、歯が生着しない場合があります。
- ACCESS
-
〒111-0021 東京都台東区日本堤1-6-11 3階
TEL:03-6240-6188診療時間 月 火 水 木 金 土 日 09:00 - 13:00 ○ ○ ○ × ○ ○ × 14:30 - 18:30 ○ ○ ○ × ○ △ × △土曜午後:14時~17時まで













