小児矯正とは?

子供の健康な笑顔をサポート
小児矯正歯科治療は、子供の成長期にある歯と顎の発達をサポートするための矯正治療です。
歯並びや咬み合わせの問題を早期に発見し、適切な対策を講じることで、健康で美しい笑顔を保つことができます。
矯正治療を始める適齢期

はじめての矯正相談を7歳前後に行うことを推奨しています。この時期には、永久歯の萌出が始まり、顎の成長も活発になります。
この時期には、永久歯の萌出が始まり、顎の成長も活発になります。早期の診断と治療により、大人になっても健康的でキレイな歯並びを手に入れることができます。
小児矯正のメリット
-
- メリット 1
- 早期発見と対応
不正咬合(咬み合わせの異常)や歯並びの問題を早期に発見し、適切な治療を行うことで、将来的な矯正治療を簡素化し、効果を高めます。
-
- メリット 2
- 顎の成長促進
成長期の子供は、顎の骨が柔軟で成長をコントロールしやすいため、理想的な顎の位置と形態を促進することができます。
-
- メリット 3
- 健康的な口腔環境
歯と歯の間のスペースが適切になることで、セルフケアがしやすくなり、虫歯や歯周病のリスクを軽減します。
-
- メリット 4
- 自信と社会適応
美しい歯並びは、子供の自信と社会的適応力を高める重要な要素となります。
矯正治療のプロセス
-
STEP 1
- 初診と診断
- 初回の診察では、口腔内の検査と併せてレントゲン撮影や口腔内スキャンを行います。
その結果を基に、治療計画を立てます。
-
STEP 2
- 治療開始
- 矯正装置(ブラケットやワイヤー、取り外し可能な装置など)を装着し、治療を開始します。
装置の選択は、それぞれの子供の状況に最適なものを使用します。
-
STEP 3
- 定期的チェックと調整
- 矯正期間中は、定期的に診察を行い、装置の調整や口腔内の健康チェックを行います。
通常は月に一度のペースでの通院が必要です。
-
STEP 4
- 保定期間:
- 矯正治療が完了した後も、歯並びを安定させるために保定装置を使用します。
保定期間は個人差がありますが、数年にわたり継続することが推奨されます。
保護者の皆様へ
お子様の歯並びに関する心配事や不安、お気軽にご相談ください。
私たちの椿デンタルクリニックが、一人一人のライフスタイルに合った最適な治療プランを提案し、お子様の健康と笑顔をサポートします。
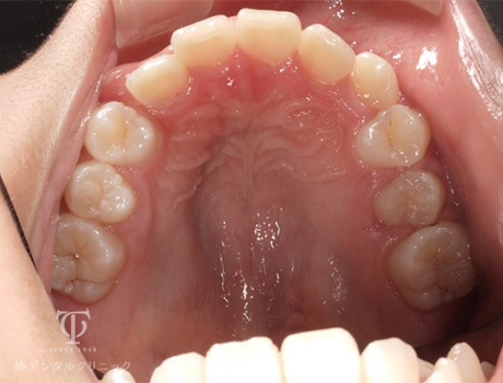
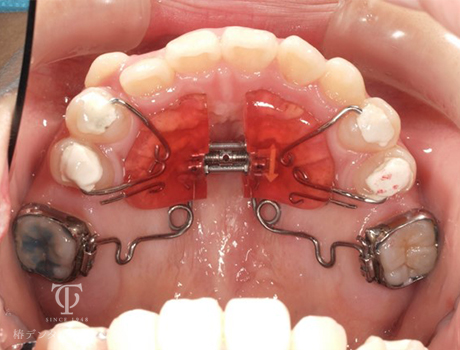
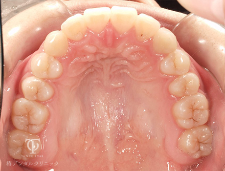
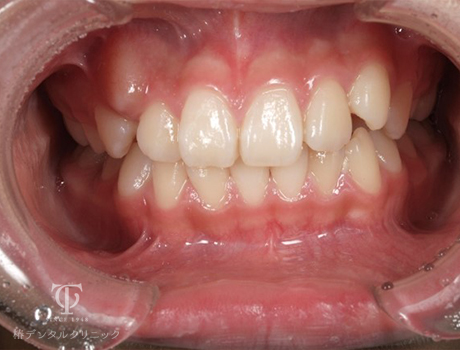
小児矯正の症例紹介
Case01
-
- 症状
- 歯並びを治したい
-
- 治療期間
- 約3年
-
- 治療費用
- 全顎矯正治療:660,000円
診査診断料:55,000円
歯並びを治したいとのことで来院されました。右上犬歯の萌出スペースが不足していた為、ペンデックスという装置で大臼歯を後方に移動して治療しました。
【リスク・副作用】
矯正歯科治療中は、装置、口腔内を清潔に保たないと虫歯や歯肉炎、歯周病になるリスクがあり、口腔内、装置の清掃が大切になります。矯正歯科治療期間は個人差が出る場合があります。
- ACCESS
-
〒111-0021 東京都台東区日本堤1-6-11 3階
TEL:03-6240-6188診療時間 月 火 水 木 金 土 日 09:00 - 13:00 ○ ○ ○ × ○ ○ × 14:30 - 18:30 ○ ○ ○ × ○ △ × △土曜午後:14時~17時まで








