美しさと機能に焦点を充てた
歯科治療

セラミック治療とは美しさに焦点を充てた歯科治療のことを指します。歯には機能的な部分、審美的(見た目)な部分があり、ともに健康に関しては重要な要素であります。
従来のセラミック治療では審美性(見た目)のみを重要視して機能性が失われる事が多くありましたが、現在のセラミック治療では審美的な要素と機能的な要素を兼ね備えてこそセラミック治療と言えるでしょう。
また、銀歯などの金属を使用しないでオールセラミックやジルコニアなどのメタルフリーの素材を使って治療をすることで、金属アレルギーや金属イオンによる歯肉の黒ずみのリスクを減らすことを考慮した治療をします。見た目も金属を使用しないので、白く天然歯に近い自然な仕上がりを得ることができます。
身体に優しいメタルフリーによる
セラミック治療

金属を使わないで、身体にやさしいメタルフリー治療とは、銀歯などの金属を使わないで、オールセラミックやジルコニアなどのノンメタルの素材を使って治療をすることです。これにより金属アレルギーや金属イオンによる歯ぐきの黒ずみが解消されます。
また、見た目も金属を使用しないので、白く天然歯に近い自然な仕上がりを得ることができます。今後の歯科治療は金属の治療から金属を使用しない“メタルフリー”の治療がスタンダードとなっていくと言われています。私ども椿デンタルクリニックでもメタルフリーの治療を行っておりますので、ご興味がある方はお気軽にご相談ください。
歯科技工士との連携による
クオリティの高い補綴物製作

当院では優れた歯科技工士と連携をし、クオリティの高い詰め物や被せ物の作製が可能です。周りの歯の色調に合わせることで限りなく天然歯に近づけるかを追求しています。
ただ白いだけの補綴物ではなく患者様のお口の咬み合せや周りの歯の色調を考慮し1人1人にあったオーダーメイドの詰め物や被せ物を歯科技工士と連携して作製しております。
主な詰め物・被せ物の素材と特徴
銀歯

『メリット』
金属なので丈夫、保険適応内なので安価。虫歯の再発や再治療になりやすい。
『デメリット』
銀の詰め物、被せ物なので目立ち見た目が良くない。金属アレルギーのリスクがある。
硬質レジン

『メリット』
白いプラスチックの素材なので目立ちにくい。部位により保険適応内で安価。
『デメリット』
セラミックのような透明感がないので審美性に欠ける。また、変色や摩耗、破損しやすい。特に前歯部の治療には適していない。
メタルボンド

『メリット』
見た目が天然歯に近い白い色を出せる。内冠に金属をしようし外冠にセラミックを使用するので強度が強い。
『デメリット』
内冠に金属を使用するので、年数が経つと金属との接着面の歯ぐきが黒ずむこともある。金属アレルギーのリスクがある。過度の力が加わると破折することもある。保険適応外である。
e.max

『メリット』
ガラスセラミックスと呼ばれる透明感に優れた素材で高い透明感で、変色しにくく、適度な強度がある。
『デメリット』
連結やブリッジには不向き。保険適応外である。
オールセラミック

『メリット』
強度が強く、色調のバリエーションも多く自然な仕上がりが期待できる。摩耗しにくい。歯ぐきの黒ずみの心配がない。金属アレルギーのリスクがない。
『デメリット』
過度の力が加わると稀に破折することもある。保険適応外である。
セラミック治療の症例紹介
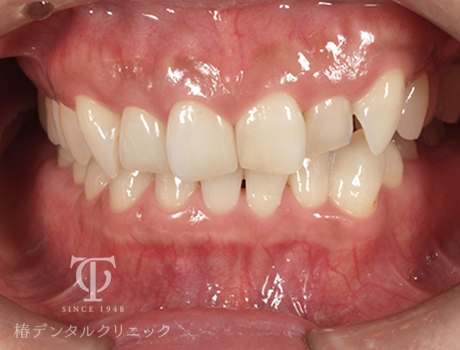
Case01
-
- 症状
- 前歯をきれいにしたい
-
- 治療期間
- 約8か月
-
- 治療費用
- 部分矯正治療:220,000円
オールセラミッククラウン:165,000円×2
前歯をきれいにしたいということで来院されました。歯周病治療と部分矯正治療を行った後にオールセラミックにて修復しました。
【リスク・副作用】
過度の咬合や衝撃で割れることがあります。治療直後は歯や歯茎に痛みが出ることがあります。
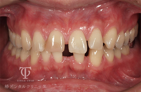
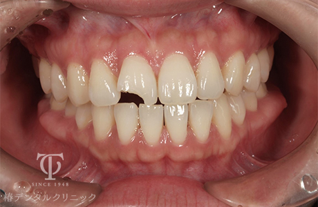
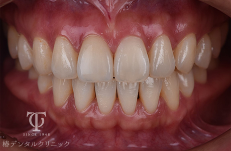
Case02
-
- 症状
- 前歯の歯肉が腫れて痛い
-
- 治療期間
- 約4か月
-
- 治療費用
- オールセラミッククラウン:165,000円×2
以前治療した前歯2本の被せ物の適合が悪く歯肉に炎症を起こしていました。歯周病治療をした後に、オールセラミッククラウンにて修復しました。
【リスク・副作用】
過度の咬合や衝撃で割れることがあります。治療直後は歯や歯茎に痛みが出ることがあります。
Case03
-
- 症状
- 前歯が欠けた
-
- 治療期間
- 約3か月
-
- 治療費用
- オールセラミッククラウン:165,000円×2
ホームホワイトニング:33,000円
欠けてしまった前歯2本をプロビジョナルで歯肉の高さを整えホームホワイトニング後にオールセラミッククラウンにて修復しました。
【リスク・副作用】
セラミックは過度の咬合や衝撃で割れることがあります。治療直後は歯や歯茎に痛みが出ることがあります。
ホワイトニングは歯の色の変化には個人差がある場合があります。また歯がしみたり、後戻りはする場合があります。
Case04
-
- 症状
- 歯の変色と欠けてしまった
-
- 治療期間
- 約3か月
-
- 治療費用
- インターナルブリーチ:11,000円
オールセラミッククラウン:165,000円×2
神経が無く変色を起こしていた為、歯の内部漂白を行いオールセラミッククラウンにて修復しました。
【リスク・副作用】
過度の咬合や衝撃で割れることがあります。治療直後は歯や歯茎に痛みが出ることがあります。
Case05
-

術前
-

術中
-

術中
-

術後
-
- 症状
- 歯が伸びてきてしまった
-
- 治療期間
- 約8か月
-
- 治療費用
- 部分矯正治療:220,000円
オールセラミックブリッジ:165,000円×3
下の前歯がぶつかり上の前歯が歯根破折を起こし位置移動をおこしていました。患者様と相談のうえ、マウスピース矯正で下の歯を整えオールセラミックブリッジにて修復しました。
【リスク・副作用】
過度の咬合や衝撃で割れることがあります。治療直後は歯や歯茎に痛みが出ることがあります。
Case06
-
- 症状
- 前歯をきれいにしたい
-
- 治療期間
- 約8か月
-
- 治療費用
- 部分矯正治療:330,000円
オールセラミックブリッジ:165,000円×3
ラミネートべニア:135,000円×4
部分矯正治療で歯のポジションを整え、下顎はオールセラミックブリッジ、上顎はラミネートベニアにて修復しました。
【リスク・副作用】
過度の咬合や衝撃で割れることがあります。治療直後は歯や歯茎に痛みが出ることがあります。
Case07
-
- 症状
- 交通事故で歯が折れてしまった
-
- 治療期間
- 約2か月
-
- 治療費用
- ラミネートべニア:165,000円
交通事故で歯が折れてしまった患者様で、最小限の歯の切削で製作可能なラミネートベニアという方法で修復しました
【リスク・副作用】
過度の咬合や衝撃で割れることがあります。治療直後は歯や歯茎に痛みが出ることがあります。
- ACCESS
-
〒111-0021 東京都台東区日本堤1-6-11 3階
TEL:03-6240-6188診療時間 月 火 水 木 金 土 日 09:00 - 13:00 ○ ○ ○ × ○ ○ × 14:30 - 18:30 ○ ○ ○ × ○ △ × △土曜午後:14時~17時まで















